Tooth Colored Fillings In Delhi
Our dental team at SmileMint Studio is excited to provide tooth-colored fillings. When a tooth has dental decay or has been harmed, dental fillings treatment restores its function. They can also be utilized as a cosmetic dentistry treatment with aesthetic bonding procedures.
Process Of Dental Filling In Delhi
Once your tooth has been cleaned and prepared, the white filling material will be applied in thin layers to cover the hole fully and, in essence, reconstruct the structure of your tooth. The white filler substance is then hardened and rendered extremely resistant against typical biting pressures using a specific light. Lastly, the tooth is shaped and polished for a smooth finish to ensure it bites appropriately with the teeth on each side. Composite resin fillings treatment seems entirely natural and successfully restores dental function.
Why Are Tooth Colored Composite Fillings Beneficial?
The best way to mimic the color of your natural teeth is with white fillings, which also give cosmetic effects because white filling materials are easily blended to create varied tones that resemble the natural tooth structure.
The capacity to insulate the tooth from temperature fluctuations and reduce the likelihood of fracture are two benefits of white filling material, which attaches directly to the tooth’s residual dental structure.
- With excellent oral hygiene, they are incredibly strong and can last up to 15 years.
- Before getting a dental crown, bridge, or other therapeutic dental operation, damaged teeth are built with white fillings.
- They are more affordable than gold fillings.
- With excellent oral hygiene, they are incredibly strong and can last up to 15 years.
1. Quick Medical Care
One or two cavities can be filled in less than an hour using the tooth-colored filling technique, which is rapid and painless.
SmileMint Studio is an expert with these fillings and uses the least possible treatment time.
Typically, a filling may be inserted, cured, and polished in 15 to 20 minutes after the anesthesia takes effect.
2. Attractive
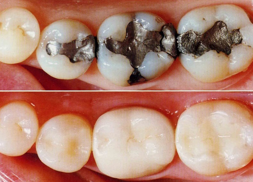
Tooth-colored fillings, as opposed to silver amalgam and gold fillings, readily blend in with the surrounding tooth structure, making them invisible and leaving just white, shining teeth exposed.
3. Persistent
If the teeth, gums, and tooth-colored fillings are taken care of properly, the fillings may endure for ten years or longer.
Preserving the fillings may be accomplished largely by brushing twice daily, flossing daily, receiving a dental checkup, and cleaning every six months.
4. Maintains a More Structurally Sound Dental Tooth Structure
As opposed to gold or silver fillings, which require more tooth tissue to be removed, tooth-colored fillings require the removal of less tooth structure, allowing for more conservative cavity treatment and preservation of natural tooth structure.
5. Mercury-free
Silver amalgam fillings include a small amount of mercury, a hazardous substance.
Many patients choose a mercury-free alternative, like tooth-colored fillings, although their levels are quite low and are not thought to be harmful to health.
After Care With Tooth Colored Fillings
Patients are often instructed to refrain from eating or drinking for two to three hours following the filling process.
Some patients could feel sensitive in the region for a few days after the operation.
You should contact the dentist immediately if anyone feels pain or the filling doesn’t seem proper.
Tooth Filling Materials in Delhi
Tooth colored fillings are used to fill the rotting tooth, giving it a more natural-looking and unnoticeable appearance.
Most patients like this choice, particularly when getting basic dental care for tooth decay in the front of the mouth.
If the decay is not too severe, one can enjoy these substances at the back of the mouth.
Fillings that match teeth can be created from:
Clay or Porcelain Tooth Filling
- Resin composite, a tooth filling material made of porcelain and plastic
- Glass Ionomer in which Fluoride is added to the glass-and-acrylic compound
Glass ionomer fillings
It is typically employed to cure decay below the gum line, whereas exposed tooth surfaces are typically filled with porcelain and resin composite.
Composite Fillings
It is a popular option among patients and dentists because it can be readily adjusted to fit the patient’s teeth’s natural color.
Schedule A Consultation
Most individuals need to have a cavity filled at some point in their lives, and tooth colored filling alternatives can help the operation look more natural.
They have a lot of advantages, but the major one is that they keep your smile and bite looking very natural!
Our dentist at SmileMint Studio in Delhi has extensive expertise in treating tooth decay and cavities, and gives knowledgeable advice to assist patients in choosing the best option based on the kind, location, and degree of decay!
Schedule a consultation right away for teeth that are white, bright, and healthy to enhance the smile appearance.
FAQ's
With proper care and maintenance, these fillings can last up to 10-12 years and are extremely durable.
We recommend you wait a minimum of 2 hours before they resume eating anything. Please avoid giving them hard or sticky foods.
No, you cannot whiten the tooth-colored fillings of your kids. The whitening agent (Hydrogen Peroxide) can whiten the enamel but not the composite resin.
The answer varies according to the dental case. Suppose your kids need extensive dental work or multiple fillings in a single session. In that case, our dentists will put them under general anesthesia to keep them comfortable and to carry on the procedure quickly and effectively.
Yes, they can, as long as they brush gently and carefully around the tooth without applying much force.
1. What Types Of Dental Fillings Are Tooth-Colored?
Patients now have various alternatives when it comes to selecting the best kind of dental filling for a cavity.
For a more covert outcome, most individuals now choose tooth-colored fillings. A metal filling, however, could be a better option in some circumstances.
A dentist can assist patients in making the best decision depending on their age, dental history, and the position of the damaged tooth.
2. What Is The Duration Of Composite Fillings?
If composite fillings are properly taken care of, they can endure for around ten years. A composite filling might only last for a short time for someone with an extremely high risk of cavities.
In a healthy adult, porcelain fillings can last 10 to 15 years. It is colored for a finish that looks almost natural.
3. What Do Tooth-Colored Fillings Cost?
Numerous factors affect how much a composite resin filling will cost. Although it is a simple, non-invasive operation carried out under local anesthesia, dental sedation may require if the patient has dental anxiety or a strong gag reflex, which will raise the cost.
4. What Symptoms Indicate A Cavity?
Tooth decay may result in the following:
- Having dental pain that becomes worse as you bite and chew
- Teeth sensitivity to hot, cold, or sweet meals and drinks
- Visible craters or holes in the teeth
- White, black, or brown marks on the teeth
These signs will show up once cavities are rather significant. Fortunately, your dentist can find tiny, symptomless cavities during exams. Treating tiny cavities as soon as they appear can lessen the decay’s impact on your teeth and the likelihood that the tooth will require further dental work in the future.
5. What Occurs When A Filling Is Made?
The dentist numbs your mouth before the treatment to ensure you won’t experience any discomfort. After removing the decaying area, she will clean the tooth to get rid of dirt and germs, and then she will put the filling material.
Regain Your Happy Smile in Healthy Way
Be it a dental checkup, an inquiry about a dental procedure, or correcting your dental issues, we assure quality care and a happy smile with flexibility in appointment scheduling.
