Minimally Invasive Dentistry/ No Drill Dentistry
There are several technologies and procedures used in no-drill dentistry. Silver diamine fluoride and resin infiltration are some of them. In minimally invasive dentistry or no-drill dentistry, tooth decay is detected early on and stopped before it progresses to a more serious issue. A unique liquid resin is injected into porous lesions before they develop cavities; this functions as a sealant to prevent the lesion from becoming bigger and developing into a complete cavity.
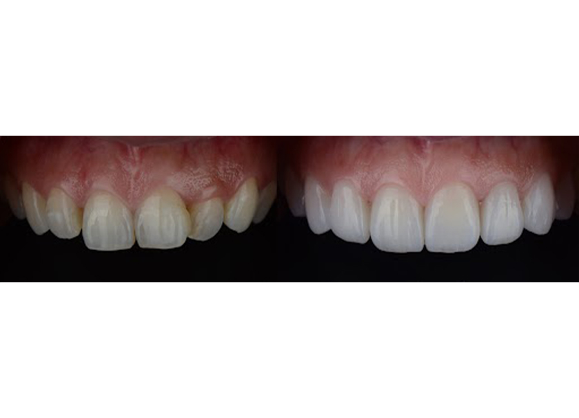
Need Of No Drill Minimally Invasive Dentistry
- Small cavities on the occlusal surfaces or the sides of teeth are often repaired successfully without drilling into the tooth structure.
- Traditionally, good tooth structure must be partially removed to cure a cavity.
- Avoiding pointless tooth drilling will help you protect your good tooth structure.
- It is a painless and quick process.
- Small cavities on the occlusal surfaces or the sides of teeth are often repaired successfully without drilling into the tooth structure.

What Does Minimally Invasive Dentistry Focus on?
Cavity Prevention or Preventative dentistry
While brushing and flossing are essential, it is not sufficient to prevent cavities. Knowing how diet and airway health affect your child’s likelihood of developing dental caries is another prominent aspect of cavity prevention.
Carefully Evaluates Risks
The likelihood of cavities varies among different children. Genetics, dietary preferences, how often they snack, brushing techniques, tongue position, airway health, sleeping patterns, tooth shape, and spacing are the various factors that may develop cavities in kids. Preventing cavities depends greatly on carefully evaluating your child’s risk factors.
Treating As Early As Possible
More treatment options are available if tooth decay is caught early. Minimally invasive dentistry addresses minor issues to prevent larger ones from arising.
Employs No- drill cavity Treatment Techniques
At SmileMint Studio in Delhi, Our dentist uses laser dentistry, silver diamine fluoride treatments, and Hall Crowns. These factors allow dentists to treat cavities painlessly while preserving more of the healthy tooth structure.
Benefits of No-drills Minimally Invasive Dentistry For Children
Fewer cavities:
A strong emphasis on prevention and advice on diet and airway health lead to fewer cavities in children.
Painless:
No drilling solutions reduce pain by avoiding needles and numbness that lasts after cavity treatment, while cavity prevention stops toothaches before they start.
Fewer Dental Appointments:
Less therapy is required when there are fewer cavities. Additionally, laser dentistry requires fewer visits for necessary treatments.
Optimal Jaw And Facial Development:
A more robust dental structure, enhanced tongue posture, and increased tongue function all contribute to optimum growth.
Improved Pulmonary Health:
Using airway evaluations to assist children in breathing can result in better sleep and oral health for them throughout their lives.
Optimistic Approach to Dental Health:
Children learn to unwind and enjoy the dentist during dental visits, which will benefit their oral health for the rest of their lives.
Strategies for remineralization:
Modern research reveals several ways your natural tooth structure can support self-healing. Dentists may now fill lesions with new biocompatible materials, preventing the need for further cavity fillings.
No-Drill Minimally Invasive Treatments
Dental sealants
The chewing surfaces of teeth, frequently the premolars and molars, are covered with a thin plastic covering known as a dental sealant to prevent tooth decay. Sealant securely encases every tooth’s enamel, which immediately connects with the depressions and grooves of the tooth.
Air abrasion
Air abrasion, a nonmechanical, minimally invasive technique for tooth preparation, uses kinetic energy to remove carious tooth structure. Aluminum oxide particles flowing in a strong, narrow stream abrade the tooth surface without causing heat, vibration, or sound.
Silver diamine fluoride (SDF)
A liquid compound called silver diamine fluoride (SDF) is used to stop dental cavities from developing, expanding, or spreading to neighboring teeth.
SDF is composed of the following:
- Silver helps to fight germs
- Water acts as the mixture’s liquid foundation.
- Fluoride is a remineralization process that helps your teeth repair the components that make them up.
- Ammonia keeps the solution concentrated, maximizing its effectiveness against cavity resonance.
These are some of the minimally invasive therapies for cavities. Dental bridges are frequently replaced with implants to lessen the required therapy. Dental veneers may also substitute with crowns.
Schedule A Consultation
With the greatest cutting-edge therapy, our dentist at SmileMint Studio can help you avoid significant tooth problems. Please make an appointment immediately to improve your oral health and discover more about minimally invasive procedures at our dental office. Your dental health is more important to our dentists, and it helps you get treatment at great comfort.
FAQ's
Yes, if our dentists use the no-drill technique, they can drill your mouth without local anesthesia.
Our dentists are drilling away the areas of the tooth that are infected. If this step is not followed, it will be difficult to eliminate the bacteria, which will continue to grow, rotting your tooth from the inside.
Yes, we recommend this treatment in the initial stages of tooth decay. It addresses the issue effectively with minimal downtime.
No, metal fillings are not suited for this method, and only composite resin is used to fill the teeth.
This technique treats multiple teeth in a single session, making it a time-saving and efficient dental treatment.
1. What advantages do minimally-invasive procedures provide for children?
The preservation of tooth structure, quicker recovery times, and increased comfort are the main advantages of minimally invasive procedures. Additionally, it helps to stop the emergence of more serious tooth issues.
2. What procedures are deemed “invasive” in the dentistry field?
The oral mucosa is perforated during invasive dental procedures that manipulate the gingival tissue. The fact that a dentist must cut through both soft and hard tissues to address a particular problem qualifies them as invasive procedures. Dental implants, gum surgery, and extractions are a few operations.
3. Do minimally invasive dental procedures erode teeth?
Dentists use minimally invasive procedures to protect as much of the natural tooth structure as feasible. Dentists may use these procedures to remove a tiny portion of the tooth or surrounding tissue to cure decay. As a result, while intrusive procedures can damage teeth, specific therapies and severe illnesses seldom do.
4. Can a patient repair a damaged tooth?
Patients should try to perform all oral hygiene techniques that stop tooth decay and, eventually, harm to the teeth. Reversal is frequently unlikely once therapy has been started. However, some treatments, like SDF therapy, can stop tooth decay and improve the teeth’ condition.
5. How secure is minimally invasive dentistry?
Several dental instruments and equipment are accessible to make minimally invasive dentistry as safe as possible. Every few years, new instruments become accessible thanks to advancements in dental technology. The majority of minimally invasive treatments are substantially less dangerous than invasive ones.
Regain Your Happy Smile in Healthy Way
Be it a dental checkup, an inquiry about a dental procedure, or correcting your dental issues, we assure quality care and a happy smile with flexibility in appointment scheduling.

