Dental Crowns In Delhi
Tooth loss can affect the confidence and smile of a person along with the regular activities of the teeth structure. SmileMint Studio is located in Delhi. Our dental expert team recommends placement of crowns in the place of missing teeth to resolve the teeth issues and restore your confidence to smile again.
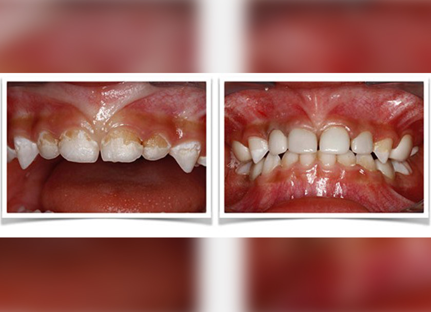
Meaning of Crowns
A dental crown is one of the popular tooth restoration methods used to cover a damaged tooth and enhance the appearance of the teeth’ structure. It is a tooth-shaped cap that looks as natural as a real tooth. Crowns are made by taking the tooth impression and made in the dental lab and it takes a few days with modern technology is made in a few hours and also in the dental clinic itself. The lab-made crown is placed in the missing tooth space with the help of dental cement. The crown is placed just above the gum line to make it visible like other natural teeth. The teeth structure is also strengthened even with a single crown since it resolves dental issues such as biting and speech problems.
Why Do You Need Dental Crowns?
Avoids Wear and Tear:
At times, the teeth reduce their size due to teeth grinding or consumption of food that is high in acidic content. Tooth damages lead to wear and tear of the teeth, which become sensitive and easily prone to injuries since they become extremely soft. Placing crowns on the weakened teeth is the best way to protect them.
Improved Appearance:
The overall appearance is affected by different teeth issues such as teeth gaps, discolored teeth, or even misaligned teeth. Crowns are an affordable option that works effectively to restore your happy smile.
Root Canal:
The root canal procedure removes the decayed tooth pulp completely. This procedure is beneficial in avoiding further damage, but it also puts the teeth’ structure at risk since a space created can be seriously affected even with a minor injury that may also cause fractures. Dental crowns cover the empty root space forming a protective layer to the entire tooth structure.
Best Alternate to Tooth Filling:
Larger teeth fillings result in less space for the remaining original tooth. The remaining tooth after fillings needs extensive protection from injuries or accidents since they will be highly delicate. Dental crowns are the best replacement for tooth filling.
Precautionary Measure:
When there is any dental injury due to accidents or sports injury, the tooth becomes weakened. The weakened tooth can be damaged further, even with the slightest pressure. Hence dental crowns are suggested to be placed on weakened teeth as a precautionary measure to save the tooth.
Benefits of Dental Crown
Dental crown placement is a very simple procedure since it is minimally invasive. A temporary crown is placed in the treated area until the permanent crown is ready. The temporary tooth keeps the normal teeth functioning without any hindrance.
Crowns are custom-made, which means it is made considering your real tooth shape, size, and color. It will look so natural that onlookers cannot determine if it’s an original tooth or a dental crown.
Crowns are long-lasting and can take the pressure of chewing, biting, and grinding food and assist in clearly pronouncing words. The crowns will last up to 30 years when maintained well with regular dental checks and best oral hygiene practices.
Dental crowns are cosmetically beneficial since they restore the appearance of your smile by replacing the missing tooth.
Crowns can instantaneously correct dental issues such as misshaped teeth, cracks, and chipped teeth and help cover dental fractures.
Types of Dental Crowns
The materials used to make dental crowns divide the crowns into different types. Let us read on to know about it.
All Ceramic:
These crowns are made from porcelain or ceramic material. It does not have any metal content in its making.
Zirconium:
These crowns are highly durable, have the best aesthetic appearance, and are very strong. They are biocompatible and can replace both front and back teeth.
All Metal:
These crowns are made with metal alloys such as nickel, cobalt, and chromium. Metal crowns were easy option years ago since they were cheaper, and they are the strongest ones since they can take any pressure from hard foods and are never easily broken or chipped.
Porcelain–Fused–to–Metal :
The porcelain material is used in this type of crown to make it look as natural as the existing tooth, and the metal content is used to make it highly durable.
FAQ's
1. Do Dental Crowns Hurt?
No, the crowns procedure does not hurt since there will be an inducing of anesthesia in the dental area during the scraping of enamel and during placement of the crown to ensure no discomfort.
2. How Long Does the Dental Crown Last?
When the crowns are well-maintained with regular dental visits, and by following the oral hygiene tips and taking the required steps to care for dentures, they can last as long as 15-20 years.
3. Do Crowns Come Under Restorative Dentistry or Cosmetic Dentistry?
Dental crowns come under both restorative and cosmetic dentistry services since they restore the ability of the weakened tooth to function normally and enhance the teeth’ aesthetic appearance.
4. What Is the Recovery Time Needed After Dental Crown Placement?
Typically, the recovery time after dental crown placement can be 1-2 weeks. There can be mild inflammation. Irritation and sensitivity on the tooth placed with the crown will eventually subside in this duration.
5. Is a Root Canal Needed for Crown Placement?
Dental crowns cover the bad-looking tooth and do not need a root canal procedure to complete the procedure.
Regain Your Happy Smile in Healthy Way
Be it a dental checkup, an inquiry about a dental procedure, or correcting your dental issues, we assure quality care and a happy smile with flexibility in appointment scheduling.
