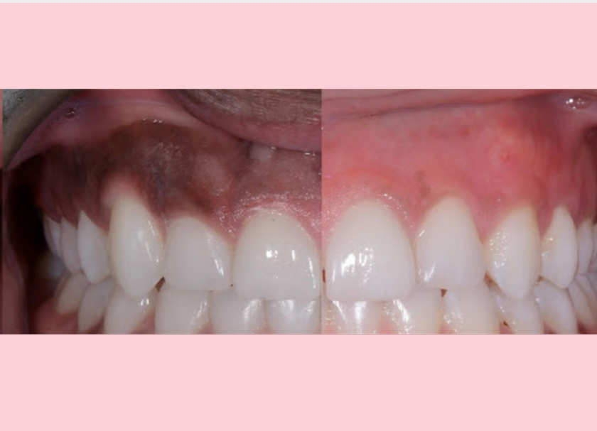
Laser Gum Depigmentation
The brown or black skin splotches that occasionally form naturally on gum tissue, also known as gingival hyperpigmentation or gingival pigmentation, are generally caused by excess melanin, a natural pigment found in our hair and even our eyes.
What is Gum Depigmentation Treatment?
People with dark complexion are the most typically impacted. This darkening of the gum tissue can be caused by smoking and long-term use of certain drugs, but it is more frequently than not the consequence of heredity. In any case, most patients’ complaints are purely cosmetic.
At the SmileMint Studio in Delhi for dental Implants and periodontics, we treat these dark gum splotches with cutting-edge technology in gum depigmentation treatment. The operation usually takes less than an hour, producing benefits that persist for decades.
Some procedures known as “gum bleaching,” “gum whitening,” or “ gum lightening” are used to alleviate gum hyperpigmentation. However, bleaching does not eliminate the splotches or “melanocytes” that create the discoloration, just the pigment cells they release. When melanocytes are “bleached,” they continue to generate the pigment that creates the bruise. As a result, laser treatment is considerably superior in terms of long-term outcomes.
Remember, having black gums isn’t always a bad thing. However, if you are dissatisfied with the look of your smile owing to black spots on your gums, please reach us immediately to see how we can assist you!
Bleaching Gums With A Laser Gum Treatment
Our dentist at SmileMint Studio in Delhi, India will examine your gums to ensure they are healthy enough for gum depigmentation before your operation. Patients with extensive gum disease may require antibiotics before bleaching. Our dentist will apply a local anesthetic to your gums before beginning gum depigmentation therapy. The laser will next be used to gently and uniformly brighten the visible surfaces of your gums.
Although the process is almost painless, some sensitivity may occur after your laser gum depigmentation. This process is treated using over-the-counter medications and avoiding salty or acidic foods. A lot of people go back to work right away following the treatment.
Benefits of Dental Gum Depigmentation
Gum bleaching and depigmentation’s benefits include the following:
- The majority of the time, with a single visit, significantly lighter color
- No scalpels or stitches
- Patients said there was little to no discomfort during or following the surgery.
- Speedy recovery
- Numerous soft tissue procedures using the dental diode laser are safe.
- Most patients only need to have the surgery done once, and many returns to work the same day.
Patients’ desire for a comfortable method to lighten their black gums led to the development of the laser gum lightening process. Compared to more traditional surgical procedures, this approach is safe and successful.
Schedule A Consultation
If you have black and brown pigmentation on your gums and desire to improve your smile aesthetics schedule a consultation with our dentist at SmileMint Studio dental clinic in Delhi, India to learn more about gum depigmentation.
FAQ's
Gum depigmentation lasts for several years. Over time, the black melanin deposits might slowly return. Future treatments are a possibility. According to our observations, gums quickly become discolored when smoking or vaping.
No. The technique is not particularly painful and is minimally invasive. While the dentist works in your mouth, you will be asleep. We make every effort to make you feel comfortable and at ease before and after the treatment. After the surgery, you can have a day or two of gum sensitivity.
Depending on the discoloration's size, scope, and location, gum depigmentation treatments might range in price. To estimate how much therapy each patient needs and how much they may anticipate paying for gum bleaching, a case-by-case analysis of each patient will be necessary.
- An excessive amount of melanin pigments is produced. Typically, this is a cosmetic concern with no connection to other health issues.
- Medical conditions such as genetic disorders, hormone imbalances, drug interactions, smoking, and, in a small percentage of instances, persistent lung infections brought on by malignancies
Surgical and laser procedures are the most commonly used to treat gum depigmentation.
Surgical Depigmentation
The gums that need to be treated are numbed with a local anesthetic.
- The periodontist will use a surgical blade to cut apart the soft tissues underneath the gums' surface and the gums' uppermost layer, removing the gums' pigmented tissue and promoting the growth of gums without color.
- A light hand and little pressure are used throughout the cutting.
- The treated areas are dressed once all bleeding has been stopped.
Laser Depigmentation
When lasers are used, topical anesthesia is sufficient.
- After activation, the laser tip is continuously brushed against the gums with a mild touch.
- The outer layer of the gums is scraped off until the proper thickness of the gums has been divided.
- The treated region will then be dressed, and patients will be contacted back one week later.
1. Is gum bleaching a long-term solution?
Gum depigmentation lasts for several years. Over time, the black melanin deposits might slowly return. Future treatments are a possibility. According to our observations, gums quickly become discolored when smoking or vaping.
2. Does the gum-whitening process painful?
No. The technique is not particularly painful and is minimally invasive. While the dentist works in your mouth, you will be asleep. We make every effort to make you feel comfortable and at ease before and after the treatment. After the surgery, you can have a day or two of gum sensitivity.
3. How much will it cost to get your gums whitened?
Depending on the discoloration’s size, scope, and location, gum depigmentation treatments might range in price. To estimate how much therapy each patient needs and how much they may anticipate paying for gum depigmentation, a case-by-case analysis of each patient will be necessary.
4. Why Does Gum Hyperpigmentation Occur?
- An excessive amount of melanin pigments is produced. Typically, this is a cosmetic concern with no connection to other health issues.
- Medical conditions such as genetic disorders, hormone imbalances, drug interactions, smoking, and, in a small percentage of instances, persistent lung infections brought on by malignancies
5. How Is Gum Depigmentation Carried Out?
Surgical and laser procedures are the most commonly used to treat gum depigmentation.
Surgical Depigmentation
The gums that need to be treated are numbed with a local anesthetic.
- The periodontist will use a surgical blade to cut apart the soft tissues underneath the gums’ surface and the gums’ uppermost layer, removing the gums’ pigmented tissue and promoting the growth of gums without color.
- A light hand and little pressure are used throughout the cutting.
- The treated areas are dressed once all bleeding has been stopped.
Laser Gum Depigmentation
When lasers are used, topical anesthesia is sufficient.
- After activation, the laser tip is continuously brushed against the gums with a mild touch.
- The outer layer of the gums is scraped off until the proper thickness of the gums has been divided.
- The treated region will then be dressed, and patients will be contacted back one week later.
Regain Your Happy Smile in Healthy Way
Be it a dental checkup, an inquiry about a dental procedure, or correcting your dental issues, we assure quality care and a happy smile with flexibility in appointment scheduling.
